Doug Booth, D.D.S.
General, Cosmetic and Laser Dentistry

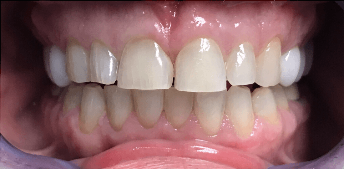
Porcelain Veneers Results

This patient sought to correct issues with tooth wear, minor alignment irregularities, and overall smile uniformity. Using custom-designed porcelain veneers, we created a cohesive, harmonious, and brilliant smile line. Notice the dramatic improvement in the shape and symmetry of the front teeth, resulting in a healthy, polished, and natural appearance. This full smile transformation significantly boosted the patient's confidence.

Related Services:

Veneers
Still need an appointment?
If you have difficulty using our website, please email us or call us at (256) 533-4770
View the ADA Accessibility Statement
Privacy Policy